Karotis arter hastalığı, boyundaki şah damarlarında aterosklerotik plak birikimi sonucu daralma veya tıkanma ile beyne giden kan akışının bozulmasıdır. Bu durum felç ve inme riskini artırır; plak kopması beyin damarlarında tıkanıklığa yol açabilir, hayati risk oluşturur.
Genellikle semptomsuz ilerleyebilir; ancak geçici iskemik atak (GİA), inme, ani görme kaybı, baş dönmesi veya konuşma bozuklukları görülebilir. Fiziksel muayenede üfürüm duyulması şüphe oluşturur. Tanı Doppler ultrasonografi, BT/MR anjiyografi ve gerekirse DSA ile doğrulanır.
Tedavi, yaşam tarzı değişiklikleri (sigarayı bırakma, sağlıklı beslenme, düzenli egzersiz) ve ilaçlarla (antiplatelet, statin, antihipertansif) başlar. Kritik darlıklarda endarterektomi veya karotis stentleme gibi girişimsel işlemler uygulanır. Takip için düzenli Doppler önerilir.
| Tanım | Beyne giden ana damarlar olan karotis arterlerde aterosklerotik plaklara bağlı daralma veya tıkanıklık sonucu gelişen dolaşım bozukluğudur. |
| Nedenleri | – Ateroskleroz (en sık neden)
– Hipertansiyon – Diyabet – Sigara kullanımı – Hiperkolesterolemi |
| Risk Faktörleri | – Yaş (özellikle >60 yaş)
– Erkek cinsiyet – Ailede erken kardiyovasküler hastalık öyküsü – Sedanter yaşam tarzı |
| Belirtiler | – Çoğu zaman asemptomatik
– Geçici iskemik atak (TIA) – İnme (stroke) – Ani görme kaybı – Baş dönmesi, konuşma bozukluğu |
| Tanı Yöntemleri | – Boyun Doppler ultrasonografi
– BT anjiyografi – MR anjiyografi – DSA (dijital subtraksiyon anjiyografi – altın standart) |
| Tedavi Yöntemleri | – Medikal tedavi: antiplatelet ilaçlar, statinler, antihipertansifler
– Endarterektomi (cerrahi) – Karotis arter stentleme (CAS) |
| Komplikasyonlar | – İnme
– Kalıcı nörolojik hasar – Karotis disseksiyonu (nadir) – Restenoz (stent sonrası yeniden daralma) |
| Önleme | – Tütün kullanımının bırakılması
– Düzenli egzersiz – Kan basıncı, kolesterol ve glukoz düzeylerinin kontrolü |
| İzlem | – Düzenli Doppler takibi
– Yaşam tarzı değişikliklerinin sürdürülmesi – Antiplatelet tedaviye uyum |
Prof. Dr. Yavuz Beşoğul
Kalp ve Damar Cerrahisi Uzmanı
Karotis Arter Nedir?
Karotis arter, boynun her iki yanında yer alan ve beyne oksijen açısından zengin kan taşıyan ana atardamarlardır. Sağ ve sol olmak üzere iki ana karotis arter vardır; her biri boynun üst kısmında iç (internal) ve dış (external) karotis olarak iki dala ayrılır. İç karotis arter, beyin ve göz gibi hayati organlara kan taşır. Bu damarların daralması veya tıkanması, inme (felç) riskini artırabilir. Bu nedenle düzenli takip ve gerekli durumlarda tıbbi müdahale hayati önem taşır.
Karotis Arter Hastalığı Nedir?
- Karotis Arter Hastalığı (Şah Damar Hastalığı) illüstrasyonu
Karotis arter hastalığını en basit haliyle, beynimize kan taşıyan şah damarlarının duvarlarında zamanla biriken ve “plak” adını verdiğimiz yapılar nedeniyle daralması olarak düşünebiliriz. Bu süreç tıp dilinde “ateroskleroz” yani damar sertleşmesi olarak bilinir ve aslında vücudun birçok atardamarını etkileyebilen genel bir durumdur. Süreci daha iyi anlamak için, temiz su taşıyan bir borunun iç duvarlarında yıllar içinde pas, kireç ve tortu birikmesine benzetebiliriz.
Her şey, damarın en iç yüzeyini döşeyen ve endotel adını verdiğimiz o ince, narin tabakanın hasar görmesiyle başlar. Bu hasarın arkasında genellikle yüksek tansiyonun yarattığı mekanik stres, sigara dumanındaki zehirli kimyasallar veya şeker hastalığının (diyabet) neden olduğu kimyasal değişimler yatar. Hasar gören bu pürüzlü yüzey, kan dolaşımındaki “kötü” kolesterol (LDL) için adeta bir tuzak haline gelir. Kolesterol parçacıkları damar duvarına sızmaya ve orada birikmeye başlar. Vücudumuzun savunma hücreleri (makrofajlar) bu durumu bir istila olarak algılar ve kolesterolü temizlemek için bölgeye hücum eder. Ancak bu hücreler kolesterolü yuttukça köpük hücrelerine dönüşür ve kendileri de plağın bir parçası haline gelir.
Bu süreçte damar duvarının iç katmanında bir kalınlaşma meydana gelir. İşte intimal kalınlaşma nedir sorusunun cevabı budur; yani damar sertliği sürecinin en erken, mikroskobik başlangıç evresidir. Eğer her iki şah damarında da bu süreç başlamışsa, bu duruma bilateral karotis sistemde intimal kalınlaşma denir. Zamanla bu yağlı birikintiye kalsiyum, hücresel atıklar ve pıhtılaşma elemanları da eklenir ve damarın içinde giderek büyüyen, kan akışını engelleyen bir tepecik, yani plak oluşur. Plak büyüdükçe, damarın içindeki boşluk (lümen) daralır ve beyne giden kan miktarı azalır. Bu boyun damarlarında tıkanıklık durumu genellikle şah damarının, çene altında iç ve dış dallara ayrıldığı çatallanma bölgesinde meydana gelir. Çünkü bu bölge, kan akımının daha türbülanslı olduğu ve plak oluşumuna daha yatkın bir alandır.
Unutulmaması gereken önemli bir nokta, tüm plakların aynı olmadığıdır. Bazı plaklar “stabil” yani durağan bir yapıdadır. Üzerleri kalın bir fibröz başlıkla kaplıdır, kireçlenmiş ve serttirler. Bu plaklar damarı daraltsa bile, genellikle ani bir soruna yol açma riskleri daha düşüktür. Asıl tehlikeli olanlar ise “anstabil” veya “kırılgan” dediğimiz plaklardır. Bunlar ince bir kapakla örtülü, içi bol miktarda yumuşak yağ ve iltihap hücresiyle dolu, adeta patlamaya hazır bir sivilce gibidir. Bu tür bir plak aniden çatlar veya yırtılırsa, iki kötü senaryo ortaya çıkabilir. Birincisi, plağın içindeki parçacıklar kan dolaşımına karışır ve beyne giderek daha küçük bir damarı tıkar (emboli). İkincisi, vücut bu yırtığı onarmak için plağın üzerinde hızla bir kan pıhtısı (trombüs) oluşturur. Bu pıhtı, şah damarını aniden tamamen tıkayabilir. Her iki senaryonun da sonucu, beyin dokusunun kansız kalarak hasar görmesi, yani inmedir. Bu nedenle hastalığın ciddiyeti sadece darlığın yüzdesiyle değil aynı zamanda plağın yapısıyla da doğrudan ilişkilidir.
Karotis Arter Hastalığı Gelişimi İçin Kimler Daha Fazla Risk Taşır?
Karotis arter hastalığı bir piyango gibi rastgele ortaya çıkmaz. Genellikle belirli yaşam tarzı alışkanlıkları, genetik yatkınlık ve mevcut diğer sağlık sorunlarının bir birleşimi sonucu gelişir. Bu risk faktörlerini bilmek, hastalığı önlemek veya ilerlemesini yavaşlatmak için atılacak adımları belirlemede bize yol gösterir. Bazı risk faktörlerini değiştiremeyiz, ancak büyük bir çoğunluğu kontrolümüz altındadır.
Değiştirilemeyen risk faktörleri şunlardır:
- Yıllar geçtikçe damarlarımız doğal olarak esnekliklerini kaybeder ve ateroskleroza daha yatkın hale gelir.
- Birinci derece akrabalarınızda (anne, baba veya kardeşler) erken yaşta (erkeklerde 55, kadınlarda 65 yaşından önce) kalp hastalığı veya inme öyküsü varsa, sizin de riskiniz artmış demektir.
- Erkeklerde genellikle daha erken yaşlarda görülme eğilimindedir, ancak menopoz sonrası dönemde kadınlarda da risk belirgin şekilde artar.
Neyse ki kontrol edebileceğimiz veya tedavi ile yönetebileceğimiz çok daha fazla risk faktörü mevcuttur:
- Sigara ve tütün kullanımı
- Yüksek tansiyon (hipertansiyon)
- Yüksek kolesterol (hiperlipidemi)
- Diyabet (şeker hastalığı)
- Obezite (aşırı kilo)
- Hareketsiz yaşam tarzı
- Sağlıksız beslenme
- Uyku apnesi
Karotis Arter Hastalığı Belirtileri Nelerdir?
- Karotis Arter Hastalığı görseli
Karotis arter hastalığının belki de en aldatıcı ve tehlikeli yanı uzun yıllar boyunca tamamen sessiz ve belirtisiz bir şekilde ilerleyebilmesidir. Boyunda damar tıkanıklığı veya daralma ileri bir seviyeye ulaşana kadar pek çok hasta durumun farkında bile olmaz. Hastalık genellikle ilk belirtisini, ne yazık ki beyin kan akımının kritik düzeyde azalması veya kesintiye uğramasıyla verir. Bu belirtiler “Geçici İskemik Atak” (GİA) veya kalıcı bir “İnme” (felç) şeklinde ortaya çıkabilir.
Geçici İskemik Atak (GİA), halk arasında “uyarıcı inme” veya “gelip geçici felç” olarak da bilinir. GİA sırasında ortaya çıkan belirtiler inme belirtileriyle birebir aynıdır. Aradaki tek fark, GİA’da bu belirtilerin genellikle birkaç dakika ile bir saat arasında (tanım gereği 24 saatten kısa sürede) tamamen ortadan kalkması ve kalıcı bir hasar bırakmamasıdır. Ancak GİA, kesinlikle göz ardı edilmemesi gereken çok ciddi bir alarmdır. Bu yaklaşmakta olan kalıcı bir inmenin habercisi olabilir ve GİA geçiren bir kişinin, özellikle ilk 48 saat içinde, kalıcı bir inme yaşama riski çok yüksektir. Bu nedenle bu belirtiler ortaya çıktığında “geçti, bir şeyim kalmadı” diye düşünmek yerine derhal acil tıbbi yardım almak hayati önem taşır.
En sık karşılaşılan boyun damar tıkanıklığı belirtileri şunlardır.
- Yüzde Asimetri: Kişiden gülümsemesi istendiğinde ağzın bir tarafının yukarı kalkmaması, o tarafın hareketsiz kalması.
- Kolda Güçsüzlük: Kolların öne doğru uzatılması istendiğinde bir kolun aşağı doğru düşmesi veya hiç kaldırılamaması.
- Konuşma Bozukluğu: Aniden peltek veya anlamsız konuşma, kelimeleri bulmada zorluk, basit bir cümleyi tekrar edememe.
- Vücudun Bir Tarafında Uyuşma veya Karıncalanma: Yüzün, kolun veya bacağın bir tarafında aniden ortaya çıkan his kaybı.
- Ani Görme Kaybı: Özellikle tek gözde aniden gelişen, geçici veya kalıcı görme kaybı. Hastalar bunu “gözüme bir perde indi” veya “görüşüm karardı” şeklinde ifade edebilir (Amaurosis Fugax).
- Çift Görme: Aniden ortaya çıkan çift görme.
- Şiddetli Baş Dönmesi ve Denge Kaybı: Aniden başlayan, kişinin ayakta durmasını veya yürümesini engelleyen denge bozukluğu ve koordinasyon kaybı.
- Ani ve Şiddetli Baş Ağrısı: Daha önce hiç yaşanmamış, “hayatımın en kötü baş ağrısı” olarak tarif edilen, nedeni bilinmeyen ani baş ağrısı.
Karotis Arter Hastalığı Şüphesinde Tanı Yöntemleri Nelerdir?
Karotis arter hastalığının tanısını koymak günümüz teknolojisiyle oldukça kolay, hızlı ve ağrısızdır. Süreç genellikle hastanın öyküsünü dinlemek ve basit bir muayene ile başlar, ardından görüntüleme yöntemleriyle kesinleştirilir.
Hekim Değerlendirmesi:
Her şeyden önce, risk faktörlerinizi ve varsa yaşadığınız şikayetleri dikkatlice dinleriz. Geçmiş sağlık öykünüz, kullandığınız ilaçlar ve aile geçmişiniz hakkında detaylı bilgi alırız. Ardından yapılan fizik muayenede en önemli adımlardan biri, stetoskop ile boynunuzu dinlemektir. Eğer şah damarında önemli bir darlık varsa, kanın bu dar ve pürüzlü bölgeden geçerken oluşturduğu girdaplı akım, “üfürüm” (bruit) adını verdiğimiz anormal bir sese neden olabilir. Bu üfürümün duyulması, biz hekimler için önemli bir şüphe nedenidir ve hemen ileri tetkik planlamamızı sağlar. Ancak üfürüm duyulmaması, hastalık olmadığı anlamına gelmez.
Karotis Doppler Ultrasonografisi:
Bu test, karotis arter hastalığının tanısında altın standarttır ve genellikle ilk başvurulan yöntemdir.
Ses dalgaları kullanarak şah damarlarının canlı, hareketli bir haritasını çıkarır. Boynunuza sürülen küçük bir miktar jel üzerine ultrason probu konularak yapılır.
Bu yöntemle damar duvarının yapısını, intimal kalınlaşma gibi en erken değişiklikleri, mevcut plakların yerini, boyutunu, yapısını (yumuşak mı, kireçli mi) ve en önemlisi damarda yüzde kaçlık bir darlığa yol açtığını net bir şekilde görebiliriz. Doppler özelliği sayesinde damar içindeki kan akımının hızını ve yönünü de ölçerek darlığın ciddiyeti hakkında kesin bilgi ediniriz.
Tamamen ağrısızdır, radyasyon içermez, hazırlık gerektirmez ve yaklaşık 20-30 dakika içinde sonuç verir.
İleri Görüntüleme Yöntemleri:
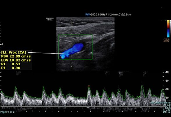
- Sol proksimal internal karotid arter normal spektral doppler
Eğer Doppler ultrason sonuçları yetersiz kalırsa veya cerrahi ya da stentleme gibi bir tedavi planlanıyorsa, damarların anatomisini üç boyutlu olarak daha detaylı görmek için ek testlere ihtiyaç duyulabilir.
Bilgisayarlı Tomografi Anjiyografi (BTA): Bu yöntemde koldaki bir damardan iyotlu bir kontrast madde (boyalı ilaç) verilir. Bu madde kan damarlarını doldururken, hızlı bir şekilde bilgisayarlı tomografi cihazıyla çekim yapılır. Sonuçta şah damarlarının, beyin damarlarının ve aort damarının üç boyutlu, son derece detaylı görüntüleri elde edilir. İşlem hastanın nefesini birkaç saniye tutmasını gerektirebilir.
Manyetik Rezonans Anjiyografi (MRA): Güçlü bir manyetik alan ve radyo dalgaları kullanılarak damarların görüntülenmesidir. BTA gibi, genellikle koldan kontrast madde verilerek yapılır, ancak burada kullanılan madde gadolinyum bazlıdır ve iyot alerjisi olanlarda bir alternatiftir. MRA, radyasyon içermemesi avantajına sahiptir ancak BTA’ya göre biraz daha uzun sürer.
Konvansiyonel Anjiyografi (DSA): Bir zamanlar tanı için tek yöntemken, günümüzde invaziv (girişimsel) bir işlem olduğu için daha çok tedavi sırasında kullanılmaktadır. Kasıktaki atardamardan ince bir kateter ile girilerek şah damarına kadar ilerlenir ve doğrudan damarın içine kontrast madde verilerek filmi çekilir. En net görüntüyü verse de işlemin kendisi çok küçük bir inme riski taşıdığı için sadece diğer yöntemlerin yetersiz kaldığı veya stentleme gibi bir tedavinin planlandığı özel durumlarda başvurulur.
Karotis Arter Hastalığı Tedavisi Nasıldır?
Karotis arter hastalığı teşhisi konulduğunda, akla hemen cerrahi gelmemelidir. Aslında, hastaların büyük bir çoğunluğu için tedavinin temelini ameliyatsız yaklaşımlar oluşturur. Özellikle darlık derecesi kritik seviyede değilse (%50-60’ın altındaysa) veya hastalık herhangi bir belirtiye (GİA veya inme gibi) yol açmamışsa, “en iyi medikal tedavi” olarak adlandırdığımız bu yöntemler önceliklidir. Bu yaklaşımın amacı, damar sertliği sürecini yavaşlatmak, mevcut plakları stabil hale getirerek yırtılma riskini azaltmak ve en önemlisi gelecekteki inme riskini en aza indirmektir. Bu tedavi, iki ana sütun üzerine kuruludur.
Yaşam Tarzında Köklü Değişiklikler:
Bu tedavinin ilacı olmayan ama en etkili kısmıdır. İlaçların bile etkinliğini artıran temel adımlardır.
Sigarayı Derhal Bırakmak: Eğer sigara içiyorsanız, yapabileceğiniz en önemli ve en etkili değişiklik budur. Tartışmasız bir şekilde tedavinin ilk adımıdır.
Damar Dostu Beslenme: Sofranızı yeniden düzenlemeniz gerekir. Özellikle Akdeniz diyeti olarak bilinen beslenme modeli önerilir.
Tüketmeniz Gerekenler:
- Bol taze sebze (ıspanak, brokoli, domates)
- Meyveler (özellikle yaban mersini, çilek gibi taneli olanlar)
- Tam tahıllı ürünler (tam buğday ekmeği, bulgur, yulaf)
- Baklagiller (mercimek, nohut, fasulye)
- Sağlıklı yağlar (zeytinyağı, avokado, ceviz, badem)
- Yağsız proteinler (özellikle somon, sardalya gibi omega-3 zengini balıklar, derisiz tavuk/hindi)
Uzak Durmanız Gerekenler:
- Doymuş yağlar (tereyağı, kırmızı etin yağlı kısımları, tam yağlı süt ürünleri)
- Trans yağlar (margarin, fast-food ürünleri, paketli atıştırmalıklar, kızartmalar)
- İşlenmiş etler (salam, sosis, sucuk)
- Şekerli içecekler ve tatlılar
- Aşırı tuz (işlenmiş gıdalar, turşu, hazır soslar)
Düzenli Fiziksel Aktivite: Haftanın en az 5 günü, 30’ar dakikalık tempolu yürüyüş, yüzme veya bisiklete binme gibi orta yoğunluktaki egzersizler hedeflenmelidir. Egzersiz, tansiyonu düşürür, iyi kolesterolü (HDL) yükseltir ve kilo kontrolüne yardımcı olur.
İdeal Kiloyu Korumak: Fazla kilolardan kurtulmak, kalp ve damarlarınızın üzerindeki yükü hafifletir.
İlaç Tedavileri:
Yaşam tarzı değişiklikleri tek başına yeterli olmadığında veya risk seviyesi yüksek olduğunda, ilaçlar devreye girer. Bu ilaçlar, hastalığın ilerlemesini durdurmak için kritik öneme sahiptir.
Antiplatelet İlaçlar (Kan Sulandırıcılar): Aspirin veya klopidogrel gibi ilaçlar, kanın pıhtılaşma hücreleri olan trombositlerin birbirine yapışmasını engeller. Bu sayede hasarlı plak üzerinde pıhtı oluşma ve bu pıhtının beyne atma riski azalır.
Statinler (Kolesterol Düşürücü İlaçlar): Bu ilaç grubu, karaciğerde kolesterol üretimini azaltarak kandaki “kötü” kolesterol (LDL) seviyesini etkili bir şekilde düşürür. Ancak faydaları bununla sınırlı değildir. Statinler aynı zamanda damar duvarındaki iltihabı (enflamasyonu) azaltır ve mevcut plakları daha sert ve stabil bir yapıya kavuşturarak yırtılma riskini düşürür. Bu nedenle kolesterol seviyeniz normal olsa bile, damar duvarını korumak amacıyla statin tedavisi önerilebilir.
Antihipertansif İlaçlar (Tansiyon Düşürücüler): Yüksek tansiyon, damar duvarına sürekli zarar verdiği için kan basıncının mutlaka hedeflenen değerlere (genellikle 130/80 mmHg altı) düşürülmesi gerekir. Bunun için farklı mekanizmalara sahip çeşitli tansiyon ilaçları tek başlarına veya kombine şekilde kullanılabilir.
Bu ameliyatsız boyun damar tıkanıklığı tedavisi, bir ömür boyu sürecek bir maratondur ve hastanın tedaviye aktif katılımını gerektirir.
Karotis Arter Hastalığında Hangi Cerrahi ve Girişimsel Tedaviler Uygulanır?
Medikal tedavi ve yaşam tarzı değişikliklerine rağmen, şah damarındaki darlık inme riski oluşturacak kritik bir seviyeye ulaştığında (genellikle belirti veren hastalarda %50’nin, belirti vermeyenlerde ise %70-80’in üzerinde), kan akışını yeniden sağlamak ve beyni korumak için girişimsel tedaviler gündeme gelir. Bu karar, hastanın yaşına, genel sağlık durumuna, darlığın derecesine ve yapısına göre, multidisipliner bir yaklaşımla (kalp damar cerrahı, nörolog, kardiyolog) ve hasta ile alınır. Günümüzde üç ana modern girişimsel yöntem mevcuttur.
Karotis Endarterektomisi (KEA) – Açık Ameliyat:
Bu yöntem şah damarı darlığı tedavisinde en uzun süredir uygulanan, sonuçları en iyi bilinen ve birçok hasta için “altın standart” kabul edilen cerrahi tekniktir.
Genel veya lokal anestezi altında, boynun yan tarafında, çene köşesinin altına yapılan yaklaşık 5-7 cm’lik bir kesi ile şah damarına ulaşılır. Beynin kansız kalmasını önlemek için, kan akışını damarın tıkalı bölümünün etrafından dolaştıran “şant” adı verilen ince bir boru geçici olarak yerleştirilebilir. Damar kontrol altına alındıktan sonra, damar duvarı uzunlamasına açılır ve darlığa neden olan plak, damarın iç yüzeyinden bir bütün olarak dikkatlice kazınarak çıkarılır. Plak temizlendikten sonra damar duvarı rahatlar ve karşılıklı primer kapatılır, eğer darlık oluşacağı düşünülürse hastanın kendi bacak toplardamarından alınan bir parçadan hazırlanan yama (patch) ile genişletilerek kapatılır.
Özellikle son 6 ay içinde GİA veya hafif inme gibi belirtiler yaşamış ve ciddi darlığı olan hastalar için en çok önerilen yöntemdir. Ayrıca genel sağlık durumu iyi olan ve belirti vermese de çok yüksek dereceli darlığı (%80 üzeri) bulunan seçilmiş hastalar için de mükemmel bir seçenektir.
Karotis Arter Stentlemesi (KAS) – açık ameliyat için riski yüksek olan ;
- Ciddi kalp veya akciğer hastalığı olanlar
- Daha önce boyun ameliyatı geçirmiş veya boynuna radyoterapi (ışın tedavisi) almış olanlar
- Darlığın cerrahi olarak ulaşılması çok zor bir yerde (örneğin kafa tabanına çok yakın) olması
- Daha önce endarterektomi yapılmış bir damarda yeniden daralma (restenoz) gelişen hastalarda yapılır.
Karotis Arter Hastalığı (Şah Damar Hastalığı) Ameliyatı’nı Yapan Doktorlar ve Hastaneler
Karotis Arter Hastalığı (Şah Damar Hastalığı) Ameliyatı'nı kalp ve damar cerrahları ,KVC yoğun bakımı olan özel hastanelerde veya devlet hastanelerinde yapılır.
Türkiye’nin En İyi Karotis Arter Hastalığı (Şah Damar Hastalığı) Ameliyatı Yapan Doktorlara Sahip Olmasının Nedenleri
- Uzman kalp ve damar cerrahları: Türkiye’de Karotis Arter Hastalığı (Şah Damar Hastalığı) Ameliyatı cerrahisinde deneyimli, yurt içi ve yurt dışı eğitim almış çok sayıda uzman hekim görev yapmaktadır.
- Gelişmiş cerrahi teknikler: Robotik cerrahi, minimal invaziv (küçük kesili) yöntemler ve açık kalp cerrahisi gibi birçok teknik başarıyla uygulanmaktadır.
- Yüksek başarı oranı: Operasyonlarda ölüm ve komplikasyon oranları düşüktür; hastaların çoğu sağlıklı şekilde normal yaşamlarına dönebilmektedir.
- Donanımlı kalp merkezleri: Üniversite ve özel hastanelerde, ileri teknolojiyle donatılmış ameliyathane ve yoğun bakım üniteleri bulunmaktadır.
- Erken tanı ve hızlı müdahale: Tetkik, tanı ve operasyon planlaması hızlı ilerler; hastaya özel, zamanında müdahale imkânı sunulur.
- Kapsamlı hasta takibi: Ameliyat sonrası bakım, düzenli kontroller ve kardiyolojik izlem süreçleri titizlikle yürütülmektedir.
- Erişilebilir maliyetler: Kaliteli sağlık hizmeti, Avrupa ve Amerika’ya göre çok daha uygun fiyatlarla sunulmaktadır.
Karotis Arter Hastalığı (Şah Damar Hastalığı) Ameliyatı Fiyatları 2026
Ortalama Karotis Arter Hastalığı (Şah Damar Hastalığı) Ameliyatını online ortamda yazamıyoruz. Hastanın durumuna, ameliyatın yapılacağı hastane, İzmir İstanbul veya Ankara gibi ameliyatın yapılacağı şehirlere göre fiyatlar değişmektedir.
Karotis Arter Hastalığı (Şah Damar Hastalığı) Ameliyatı Olanların Yorumları
Prof. Dr. Yavuz Beşoğul'un hasta yorumları için Google Haritalar ve Doktor Takvimi 'ni ziyaret edebilirsiniz.
Sıkça Sorulan Sorular
Karotis arter intimal kalınlaşma nedir?
Şah damarınızın (karotis arter) iç duvarı zamanla çeşitli faktörlerle kalınlaşabilir. Bu duruma “intimal kalınlaşma” diyoruz ve damar sertliğinin en erken, en masum habercisidir. Henüz bir tıkanıklık değildir ama damarlarınızın sağlığınıza daha fazla özen göstermeniz gerektiğini gösteren önemli bir işarettir. Ultrason ile kolayca tespit edilir ve erken önlem alınmasını sağlar.
Karotis arter tıkanıklığı nasıl açılır?
Şah damarındaki daralma kritik seviyeye ulaştığında iki ana modern yöntem uygulanır: Birincisi, cerrahi olarak plağın çıkarıldığı Karotis Endarterektomi; ikincisi ise kasıktan girilerek yapılan ve damara stent yerleştirilen anjiyo benzeri Stentleme yöntemidir. Sizin için en uygun yönteme muayene ve tetkiklerle birlikte karar veririz.
Karotis arterlerine ne iyi gelir?
Sağlıklı damarlar için Akdeniz tipi beslenme, düzenli egzersiz, tuz ve işlenmiş gıdalardan uzak durmak, sigarayı bırakmak en etkili yöntemlerdir. Taze sebze, meyve, balık ve zeytinyağı damarlarınıza adeta hayat verir. Damarlarınıza gösterdiğiniz özen, size uzun ve sağlıklı bir ömür olarak geri döner.
Şah damarı tıkanıklığı ilaçla geçer mi?
Maalesef, mevcut bir tıkanıklığı sadece ilaçla tamamen ortadan kaldırmak mümkün değildir. Kan sulandırıcılar, kolesterol ve tansiyon ilaçları, ilerlemeyi yavaşlatmak ve riski azaltmak için hayati önem taşır. Ancak daralmış damarın açılması için cerrahi veya stent gerekebilir.
Şah damarı tıkanıklığı yüzde kaç olursa tehlikeli?
Geçici felç, konuşma bozukluğu, görme kaybı gibi şikayetler varsa %50 ve üzeri darlıklar tehlikelidir. Şikayet yoksa genellikle %70-80 üzerindeki darlıklar risklidir. Karar sadece oranla değil, plağın yapısı gibi diğer faktörlerle birlikte verilir.
Karotis arter için hangi doktora gidilir?
Karotis arter (şah damarı) sorunlarında başvurulacak ilk adres Kalp ve Damar Cerrahisi’dir. Doppler ultrason ve diğer testlerle tanı konur, ilaç ya da cerrahi tedavi planlanır. Gerekirse Nöroloji ve Girişimsel Radyoloji uzmanlarıyla iş birliği yapılır.
Karotis arter kaç mm olmalı?
Damar çapı kişiden kişiye değişir, önemli olan damardaki darlık oranıdır. Ultrasonla ölçülen intima-media kalınlığının genellikle 1 mm’nin altında olması beklenir. Bu değerdeki artış, damar sertliğinin erken göstergesidir.
Şah damarı tıkanıklığı anjiyo ile açılır mı?
Evet. Şah damarı tıkanıklığı, kasıktan yapılan anjiyo ile açılarak stent yerleştirilebilir. Balonla genişletilen bölgeye konan stent, kan akışını sağlar ve tekrar daralmasını önler. Cerrahi riski yüksek olan hastalarda modern ve etkili bir seçenektir.
Şah damarı tıkanıklığı genellikle kaç yaşında görülür?
Damar sertliği genç yaşlarda başlasa da, şah damarı tıkanıklığı genellikle 65 yaş ve üzerindeki kişilerde belirti verir. Yoğun risk faktörü (sigara, diyabet, yüksek tansiyon, genetik kolesterol yüksekliği) olanlarda 50’li yaşlara kadar inebilir. Risk grubunda olanların düzenli kontrol yaptırması önemlidir.
Blog Yazıları
Kalp Kası Kalınlaşması (Myokardiyal Hipertrofi) Nedir?
Prof. Dr. Yavuz Beşoğul » Kalp Hastalıkları » Kalp Kası Kalınlaşması (Myokardiyal Hipertrofi) Nedir?Kalp kası [...]
Apr
Endokardiyum (kalp iç zarı)
Prof. Dr. Yavuz Beşoğul » Kalp Hastalıkları » Endokardiyum (kalp iç zarı)Endokardiyum, bilinen diğer adıyla [...]
Apr
Epikardiyum
Prof. Dr. Yavuz Beşoğul » Genel » EpikardiyumEpikardiyum, kalbin en dış yüzeyini çepeçevre saran, organı [...]
Apr
Kalp fibrozisi (miyokardiyal fibrozis)
Prof. Dr. Yavuz Beşoğul » Kalp Hastalıkları » Kalp fibrozisi (miyokardiyal fibrozis)Kalp fibrozisi (miyokardiyal fibrozis), [...]
Apr
Aortit (İltihaplı Aort Hastalığı): Nedenleri, Belirtileri ve Tedavisi
Prof. Dr. Yavuz Beşoğul » Aort Hastalıkları » Aortit (İltihaplı Aort Hastalığı): Nedenleri, Belirtileri ve [...]
Apr
Kardiyoloji Nedir, Hangi Hastalıklara Bakar?
Prof. Dr. Yavuz Beşoğul » Genel » Kardiyoloji Nedir, Hangi Hastalıklara Bakar?Kardiyoloji, kalp ve dolaşım [...]
Apr
Bypass Nedir?
Prof. Dr. Yavuz Beşoğul » Kalp Bypass » Bypass Nedir?Bypass, tıpta özellikle koroner arter hastalığının [...]
Mar
Hipertansiyon Nedir? Yüksek Tansiyon Belirtileri Nelerdir?
Prof. Dr. Yavuz Beşoğul » Genel » Hipertansiyon Nedir? Yüksek Tansiyon Belirtileri Nelerdir?Hipertansiyon, arterlerdeki kan [...]
Mar



