Marfan sendromu, bağ dokusunu etkileyen genetik bir hastalıktır ve vücudun iskelet sistemi, gözler, kalp ve damar yapılarında belirgin değişikliklere yol açar. FBN1 genindeki mutasyon sonucu ortaya çıkar ve otozomal dominant kalıtım gösterir.
Belirtileri arasında uzun ve ince vücut yapısı, uzun kollar ve parmaklar, omurga eğrilikleri, göğüs kafesi şekil bozuklukları ve esnek eklemler bulunur. Gözlerde lens kayması, miyopi ve retina dekolmanı riski artar. Kalp ve damar sisteminde aort genişlemesi ve kapak yetersizlikleri görülebilir.
Nedenleri genetik temellidir ve çoğu vaka ailevi geçiş gösterir. Ancak nadiren kendiliğinden gelişen yeni mutasyonlar sonucu da ortaya çıkabilir. Erken tanı, yaşam boyu takip ve komplikasyonların önlenmesi açısından önemlidir.
Tedavi, semptomlara yönelik olarak planlanır. Düzenli kardiyolojik izlem, tansiyon kontrolü, aort cerrahisi gerektirebilecek durumların takibi, iskelet bozuklukları için ortopedik destek ve göz sağlığının korunması temel yaklaşımlardır.
| Tanım | Bağ dokusunu etkileyen, otozomal dominant geçişli, çoklu sistemi tutan genetik bir hastalık |
| Genetik Etken | FBN1 geninde (fibrillin-1) mutasyon; TGF-β sinyal yolakları ile ilişkili bozukluk |
| Etkilenen Sistemler | Kardiyovasküler sistem (aort kökü dilatasyonu, aort diseksiyonu), iskelet sistemi (uzun ekstremiteler, skolyoz, pektus deformiteleri), oküler sistem (lens ektopisi), akciğer (pnömotoraks), cilt (stria) |
| Belirtiler | Uzun boy, orantısız uzun kol ve bacaklar, göğüs duvarı deformiteleri, esnek eklemler, miyopi, lens kayması, kalp üfürümü, aortik genişleme |
| Tanı Yöntemleri | Ghent kriterleri, genetik test (FBN1 mutasyonu), EKO, MRG/BT ile aort değerlendirmesi, göz muayenesi, iskelet sistemi değerlendirmesi |
| Komplikasyonlar | Aort anevrizması ve diseksiyonu, mitral kapak prolapsusu, ani kardiyak ölüm, skolyoz, lens dislokasyonu |
| Tedavi Yöntemleri | Beta blokerler veya ARB (losartan gibi), cerrahi müdahale (ör. Bentall ameliyatı), düzenli kardiyolojik ve oftalmolojik takip |
| Takip ve İzlem | Aort çapının düzenli ölçümü (EKO/BT/MRG), kardiyoloji ve genetik danışmanlık, göz ve iskelet sistemi kontrolleri |
| Önleme Yolları | Genetik danışmanlık, fiziksel aktivite sınırlamaları (özellikle ağır sporlar), düzenli medikal izlem, profilaktik cerrahi planlama |
Marfan Sendromu Nedir?
Marfan sendromu, bağ dokusunu etkileyen genetik geçişli bir hastalıktır. Kalp ve damar sistemi, iskelet yapısı, gözler ve akciğerler başta olmak üzere birçok organı etkileyebilir. Uzun boy, ince yapılı vücut, uzun parmaklar, göğüs kafesi deformiteleri ve lens kayması sık görülen belirtilerdendir. En ciddi komplikasyon aort anevrizması ve diseksiyon riskidir. Tanı, klinik değerlendirme ve genetik testlerle konur. Tedavi yaşam boyu takip, medikal tedavi ve gerekirse cerrahi müdahaleyi içerir.
Marfan Sendromunun Genetik Kökeni Nedir?
Her genetik hastalık gibi Marfan sendromunun da temelinde bir “yazılım hatası” yatar. Bu hata, 15. kromozom üzerinde bulunan ve FBN1 olarak adlandırılan bir gendedir. Bu genin görevi, vücuda fibrillin-1 adlı çok önemli bir proteini nasıl üreteceğini söylemektir. Fibrillin-1, bağ dokusunu oluşturan mikrofibril denilen ipliksi ağların ana bileşenidir. Bu ağlar, dokulara hem güç hem de esneklik kazandıran lastik bantlar gibidir.
FBN1 genindeki bir mutasyon, yani hata, bu fibrillin proteininin ya yeterli miktarda üretilememesine ya da kalitesinin bozuk olmasına yol açar. Sonuç olarak bağ dokusu zayıf ve dayanıksız hale gelir. Ancak mesele sadece yapısal bir zayıflık değildir. Fibrillin proteini aynı zamanda vücuttaki büyüme ve onarım süreçlerini kontrol eden bazı sinyal moleküllerini (özellikle TGF-β) düzenler. Hatalı fibrillin, bu sinyal moleküllerinin aşırı aktif hale gelmesine neden olur. Bu aşırı aktivite de kemiklerin orantısız uzaması ve kan damarı duvarlarının daha da zayıflaması gibi Marfan sendromuna özgü birçok soruna katkıda bulunur. Kısacası Marfan sendromu sadece bir yıpranma sorunu değil aynı zamanda anormal hücresel sinyallemenin yol açtığı aktif bir süreçtir.
Marfan Sendromu Aile İçinde Nasıl Geçiş Gösterir?
Marfan sendromu, “otozomal dominant” adı verilen bir kalıtım modeliyle nesilden nesile aktarılır. Bu tıbbi terimin anlamı aslında oldukça basittir: Hastalığın ortaya çıkması için, hatalı genin sadece bir ebeveynden gelmesi yeterlidir. Bunu bir yazı-tura oyununa benzetebiliriz. Marfan sendromlu bir ebeveynin her bir çocuğu için, bu geni aktarma olasılığı %50, yani yazı-tura atmak gibidir. Cinsiyet fark etmez, hem kız hem de erkek çocuklar eşit oranda etkilenir.
Vakaların yaklaşık dörtte üçünde (%75), hastalık bu şekilde aileden miras alınır. Ancak geri kalan dörtte birlik (%25) bir dilimde, durum tamamen farklıdır. Ailede daha önce hiç Marfan sendromu öyküsü olmamasına rağmen, çocukta kendiliğinden yeni bir genetik mutasyon (de novo mutasyon) ortaya çıkabilir. Bu “Neden bizde oldu? Ailemizde hiç böyle bir şey yoktu” sorusunun cevabıdır. Bu durum aile öyküsü olmamasının Marfan sendromu tanısını dışlamadığını ve tanının her zaman objektif tıbbi bulgulara dayanması gerektiğini gösteren çok önemli bir bilgidir.
Marfan Sendromunun İskelet Sistemindeki Belirtileri Nelerdir?
Marfan sendromunun belki de en kolay fark edilen belirtileri, vücudun genel yapısı ve iskelet sistemi üzerinde görülür. Bu belirtiler tek başlarına bir anlam ifade etmese de bir araya geldiklerinde önemli bir şüphe uyandırırlar. En sık karşılaşılan iskelet bulguları şunlardır:
- Aileye göre belirgin şekilde uzun boy
- Vücuda oranla orantısız uzunlukta kollar, bacaklar ve parmaklar
- “Örümcek parmaklılık” olarak da bilinen arakno daktili
- Kollar yana açıldığında kulaç mesafesinin boy uzunluğunu geçmesi
- Göğüs kemiğinin içeri doğru çökük olması (kunduracı göğsü)
- Göğüs kemiğinin dışarı doğru çıkık olması (güvercin göğsü)
- Omurgada yana doğru eğrilik (skolyoz)
- Sırtta kamburluk (kifoz)
- Eklemlerde aşırı esneklik ve hareketlilik (hipermobilite)
- Ayaklarda düz tabanlık (pes planus)
- Uzun ve dar bir yüz yapısı
- Yüksek ve kavisli damak yapısı
- Dişlerde kalabalıklaşma ve çapraşıklık
Marfan Sendromu Göz Sağlığını Nasıl Etkiler?
İskelet sistemi bulgularından sonra en önemli ipuçları genellikle gözlerden gelir. Bağ dokusunun zayıflığı, gözün hassas yapılarını da etkiler. Bir göz doktorunun yapacağı detaylı bir muayene, Marfan sendromu tanısında kilit rol oynayabilir. Dikkat edilmesi gereken başlıca göz bulguları aşağıdaki gibidir:
- Göz merceğinin yerinden kayması (ektopia lentis). Bu Marfan sendromu için çok tipik bir bulgudur.
- Yüksek dereceli miyopi (uzağı net görememe)
- Astigmatizma
- Erken yaşta katarakt gelişimi
- Göz içi basıncının artması (glokom)
- Retina tabakasının yırtılması veya yerinden ayrılması (retina dekolmanı)
Özellikle göz merceğinin yerinden kayması, sadece bir görme kusuru değildir; aynı zamanda vücudun diğer bölgelerindeki, özellikle de kalpteki riskler için bir alarm zilidir. Göz bulguları ne kadar belirginse, aort damarıyla ilgili ciddi sorun yaşama riskinin de o kadar yüksek olduğu bilinmektedir. Bu nedenle bir göz muayenesinde Marfan şüphesi oluştuğunda, hastanın vakit kaybetmeden bir kalp hastalıkları uzmanı tarafından değerlendirilmesi hayati önem taşır.
Marfan Sendromunun Kalp ve Damar Sistemi Üzerindeki Etkileri Nelerdir?
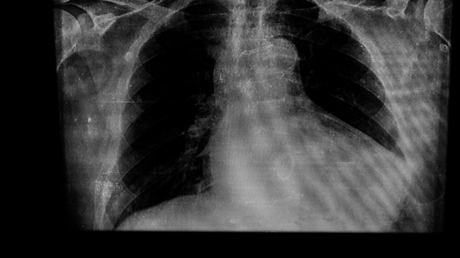
Marfan sendromunun en ciddi ve yaşamı tehdit eden komplikasyonları kalp ve damar sisteminde ortaya çıkar. Bu yüzden sendromun takibi ve tedavisi büyük ölçüde bir kardiyolog ve kalp cerrahı tarafından yönetilir. Sorunun merkezinde, vücudun en büyük atardamarı olan ve kalpten çıkan aort damarı yer alır. Aort, kalbin her atışında yüksek basınçlı kanı tüm vücuda dağıtan ana boru hattıdır. Bu muazzam basınca dayanabilmesi için duvarlarının çok sağlam ve esnek olması gerekir. İşte Marfan sendromunda, bağ dokusundaki zayıflık nedeniyle aort duvarı bu direncini kaybeder. Zamanla, içindeki kan basıncının etkisiyle tıpkı bir balon gibi yavaş yavaş genişlemeye başlar. Bu duruma “aort anevrizması” denir.
Anevrizmanın kendisi başlangıçta bir belirti vermeyebilir, ancak asıl tehlike sessizce büyümesidir. Belirli bir çapa ulaştığında, bu zayıflamış damar duvarı ya tamamen yırtılabilir (rüptür) ya da iç katmanlarından yırtılarak kanın damar duvarları arasına sızmasına (aort diseksiyonu) neden olabilir. Her iki durum da acil cerrahi müdahale gerektiren, ölümcül olabilen durumlardır. Bu nedenle Marfan sendromu takibinin temel amacı, bu “saatli bomba”yı patlamadan önce tespit etmek ve önleyici ameliyatla etkisiz hale getirmektir.
Marfan Sendromunda Yaşanan Diğer Sağlık Sorunları Nelerdir?
Kalp, iskelet ve gözler en sık etkilenen sistemler olsa da Marfan sendromu bağ dokusunun bulunduğu diğer bölgelerde de sorunlara yol açabilir. Bu belirtiler tanısal bulmacanın diğer önemli parçalarını oluşturur.
- Akciğerler: Akciğerdeki hava keseciklerinin zayıflığı nedeniyle akciğerin aniden sönmesi (spontan pnömotoraks) riski artar.
- Deri: Özellikle omuz, sırt ve kalça bölgelerinde, belirgin bir kilo alıp verme öyküsü olmadan ortaya çıkan çatlaklar (striae) görülebilir.
- Sinir Sistemi: Omuriliği çevreleyen ve dura mater adı verilen zarın bel bölgesinde genişlemesi (dural ektazi), kronik bel, sırt ve bacak ağrılarına neden olabilen önemli bir bulgudur.
Marfan Sendromu Tanısı Hangi Kriterlere Göre Konulur?
Marfan sendromu tanısı, tek bir kan testine veya görüntüleme yöntemine bakılarak konulamaz. Bu farklı uzmanlık alanlarından doktorların bir araya gelmesini gerektiren, detaylı bir dedektiflik işidir. Tanı sürecinde, 2010 yılında güncellenen ve “Revize Ghent Kriterleri” olarak bilinen uluslararası bir kılavuz kullanılır. Bu modern yaklaşım tanıyı en kritik iki bulgu üzerine inşa eder: Aort kökü genişlemesi ve göz merceğinin yerinden kayması (ektopia lentis).
Tanıya giden yollar genellikle şöyledir:
- Ailede Marfan öyküsü olmayan birinde, hem aort genişlemesi hem de göz merceğinde kayma varsa tanı kesindir.
- Aort genişlemesi saptanmışsa ve genetik testte FBN1 mutasyonu bulunursa tanı kesinleşir.
- Sadece aort genişlemesi varsa, tanı için diğer vücut sistemlerindeki bulguların bir puanlama sistemine göre değerlendirilmesi gerekir. Eğer “sistemik skor” denilen bu puanlamada 7 veya daha fazla puan toplanırsa, tanı konulur.
Bu sistemik skorlama, ilk bakışta ilgisiz gibi görünen birçok küçük bulgunun (düz tabanlık, deri çatlakları, yüz özellikleri vb.) bir araya geldiğinde ne kadar anlamlı olabileceğini gösterir ve tanının neden bütüncül bir yaklaşım gerektirdiğini kanıtlar.
Marfan Sendromu Tedavisinde İlaçların ve Yaşam Tarzının Rolü Nedir?
Marfan sendromunu tamamen ortadan kaldıran bir tedavi henüz yoktur. Ancak modern tıp, hastalığın ilerleyişini yavaşlatmak ve en tehlikeli komplikasyon olan aort yırtılmasını önlemek için çok etkili yöntemler sunmaktadır. Tedavinin temelini iki ana grup ilaç oluşturur. Bu ilaçlar, aort duvarındaki stresi azaltarak anevrizmanın büyüme hızını yavaşlatmayı hedefler.
- Beta-blokerler: Kalp atış hızını ve kalbin kasılma gücünü azaltarak kan basıncını düşürürler.
- Anjiyotensin Reseptör Blokerleri (ARB’ler): Kan damarlarını gevşeterek tansiyonu düşürürler ve aynı zamanda TGF-β sinyal yolu üzerinden bağ dokusuna ek koruma sağlayabilecekleri düşünülmektedir.
İlaç tedavisi kadar önemli olan bir diğer konu da yaşam tarzı düzenlemeleridir. Buradaki amaç kan basıncında ani ve şiddetli yükselmelere neden olabilecek aktivitelerden kaçınmaktır.
Kaçınılması önerilen aktiviteler:
- Ağır ağırlık kaldırma
- Rekabetçi ve temas gerektiren sporlar (futbol, basketbol, dövüş sporları)
- Yoğun efor gerektiren izometrik egzersizler (şınav, mekik gibi)
Genellikle güvenli kabul edilen aktiviteler:
- Tempolu yürüyüş
- Yüzme
- Bisiklete binme (zorlayıcı olmayan tempoda)
- Golf
- Bowling
Her hasta için en uygun aktivite planı, mutlaka hastayı takip eden kardiyolog tarafından kişiye özel olarak belirlenmelidir.
Marfan Sendromunda Önleyici Kalp Ameliyatı Ne Zaman ve Neden Gereklidir?
İlaç tedavisi ve yaşam tarzı değişikliklerine rağmen aort damarındaki genişleme devam edebilir. Aort çapı, yırtılma riskinin kabul edilemez derecede yükseldiği kritik bir eşiğe ulaştığında, “önleyici” yani profilaktik ameliyat gündeme gelir. Buradaki felsefe, felaketin gerçekleşmesini beklemek değil ondan önce davranarak riski ortadan kaldırmaktır.
Ameliyat kararı için en önemli kriter aort kökünün çapıdır. Genel olarak kabul edilen eşikler şunlardır:
- Risk faktörü olmayan hastalarda aort çapı 5.0 cm’ye ulaştığında
- Ailede aort diseksiyonu öyküsü, hızlı büyüme, ciddi kapak yetmezliği gibi ek risk faktörleri varsa 4.5 cm’de
- Hamilelik planlayan kadınlarda risk durumuna göre 4.0-4.5 cm aralığında
Bu rakamlar birer rehberdir ve nihai karar, hastanın genel durumu vücut ölçüleri ve diğer bireysel faktörler göz önünde bulundurularak, hasta ve cerrah tarafından birlikte verilir.
Marfan Sendromunda Uygulanan Kalp Cerrahisi Yöntemleri Nelerdir?
Aort kökünü değiştirmek için günümüzde uygulanan iki ana cerrahi yaklaşım vardır. Seçim, hastanın aort kapağının durumuna ve cerrahın deneyimine bağlıdır.
- Bentall Prosedürü (Kompozit Greft Değişimi): Bu geleneksel ve çok etkili bir yöntemdir. Ameliyatta, genişlemiş aort kökü ve hastanın genellikle hasar görmüş olan kendi aort kapağı birlikte çıkarılır. Yerine, sentetik bir tüp (greft) ile üzerine dikilmiş bir protez kapağın (mekanik veya biyolojik) birleşiminden oluşan kompozit bir yapı konulur. Bu yöntemin en büyük avantajı dayanıklılığı, dezavantajı ise protez kapak nedeniyle hastanın ya ömür boyu kan sulandırıcı kullanmak (mekanik kapak) ya da gelecekte tekrar ameliyat olmak (biyolojik kapak) zorunda kalmasıdır.
- Kapak Koruyucu Aort Kökü Değişimi (David Prosedürü): Bu daha modern ve teknik olarak daha zorlu bir yaklaşımdır. Eğer hastanın kendi aort kapağının yapısı sağlamsa, bu ameliyatla sadece genişlemiş aort duvarı sentetik bir greft ile değiştirilirken, hastanın kendi sağlıklı kapağı korunarak bu yeni greftin içine tekrar yerleştirilir. Bu bir tamirden çok bir “restorasyon” işlemidir. En büyük avantajı, hastayı protez kapak ve kan sulandırıcı kullanımının getirdiği tüm zorluklardan kurtarmasıdır. Özellikle genç hastalar için yaşam kalitesi açısından muazzam bir fark yaratır.
Marfan Sendromu Olan Bir Kişinin Yaşam Beklentisi Nedir?
Bu hastaların ve ailelerinin en çok merak ettiği ve endişelendiği sorulardan biridir: “Marfan sendromu kaç yıl yaşar?” Bu sorunun cevabı, modern tıbbın son 50 yılda kat ettiği inanılmaz ilerlemeyi gözler önüne serer. 1970’lerde, Marfan sendromlu bir bireyin ortalama yaşam beklentisi ne yazık ki 30’lu veya 40’lı yaşlarla sınırlıydı. Bugün ise tablo tamamen farklıdır. Doğru tanı, düzenli takip, etkili ilaç tedavileri ve en önemlisi zamanında yapılan önleyici aort cerrahisi sayesinde, Marfan sendromlu bireylerin yaşam beklentisi normale yakın seviyelere, yani 70’li yaşlara ve üzerine çıkmıştır.
Bu tarihi başarıyı mümkün kılan temel adımlar şunlardır:
- Erken ve doğru tanı oranlarındaki artış
- Aortu koruyan ilaç tedavilerinin yaygınlaşması
- Görüntüleme yöntemlerindeki gelişmelerle yakın takip imkanı
- Güvenli ve etkili önleyici aort cerrahisi tekniklerinin geliştirilmesi
Artık hastalar daha uzun yaşadığı için, Marfan sendromunun ileri yaşlarda ortaya çıkabilen diğer etkileriyle (kalp kası zayıflığı, aortun diğer kısımlarında anevrizmalar, kronik eklem sorunları gibi) karşılaşılmaktadır. Bu durum Marfan yönetiminin gerçekten ömür boyu süren, dinamik bir süreç olduğunu ve uzman takibinin asla bırakılmaması gerektiğini bir kez daha göstermektedir. Bu yolculukta, psikolojik destek ve hastanın yaşam kalitesini merkeze alan bütüncül bir yaklaşım en az tıbbi tedaviler kadar önemlidir.
Sıkça Sorulan Sorular
Marfan sendromu nedir?
Marfan sendromu, bağ dokusunu etkileyen genetik bir hastalıktır. Kalp, damarlar, iskelet sistemi, gözler ve akciğerleri etkileyebilir.
Hangi gen etkilenmiştir?
FBN1 (fibrillin-1) genindeki mutasyon bu sendroma neden olur.
Kalp ve damarları nasıl etkiler?
Aort genişlemesi, aort anevrizması ve mitral kapak prolapsusu gibi ciddi kalp-damar komplikasyonlarına yol açabilir.
Marfan sendromu kalıtsal mıdır?
Evet, otozomal dominant kalıtılır; anne ya da babadan geçebilir veya yeni mutasyonla ortaya çıkabilir.
Fiziksel özellikleri nelerdir?
Uzun boy, uzun parmaklar (araknodaktili), çökmüş veya çıkık göğüs kemiği, skolyoz, ince yapı tipik bulgulardır.
Göz problemleri görülür mü?
Evet, lens kayması (ektopia lentis), miyopi ve retina dekolmanı gibi sorunlar sık görülür.
Teşhisi nasıl konur?
Fiziksel muayene, genetik testler, EKO, göz ve iskelet muayenesi ile tanı doğrulanır.
Marfan sendromunun tedavisi var mı?
Tam tedavisi yoktur; belirtileri yönetmeye yönelik multidisipliner bir yaklaşım gerekir.
Hangi komplikasyonlar hayatı tehdit eder?
Aort diseksiyonu (yırtılması) en ciddi ve ölümcül komplikasyondur; acil müdahale gerekir.
Hangi uzmanlar tedavi sürecine dahil olur?
Kardiyolog, ortopedist, göz doktoru ve genetik uzmanı iş birliği içinde çalışır.
Marfan sendromlu bireyler spor yapabilir mi?
Ağır sporlardan kaçınılmalı; düşük riskli egzersizler (yüzme, yürüyüş) tercih edilmelidir.
Hamilelik riskli midir?
Evet, özellikle aort genişlemesi varsa risk artar; kardiyoloji ve kadın doğum uzmanı kontrolü şarttır.
Marfan sendromu ile normal yaşam sürebilir mi?
Düzenli takip ve uygun tedaviyle yaşam kalitesi artırılabilir; ömür uzatılabilir.
Bu sendrom çocuklarda fark edilebilir mi?
Evet, fiziksel belirtiler ve aile öyküsü varsa çocukluk çağında tanı konulabilir.
Marfan sendromunda cerrahi tedavi gerekir mi?
Aort genişlemesi kritik boyuta ulaşırsa aort cerrahisi önerilir.

Prof. Dr. Yavuz Beşoğul, 25 yılı aşkın deneyime sahip bir Kalp ve Damar Cerrahisi Uzmanıdır. Türkiye’de kapalı kalp ve atan kalpte bypass ameliyatlarının öncülerindendir. Bugüne kadar binlerce başarılı ameliyat gerçekleştirmiş, ulusal ve uluslararası dergilerde 100’den fazla bilimsel makale yayımlamıştır.
